¿Quiénes somos?
En goaligner creemos que la ortodoncia invisible no solo transforma sonrisas… transforma vidas.
Somos el aliado de los ortodoncistas que buscan precisión, confianza y resultados reales. No queremos ser los más grandes, queremos ser los que hacen la diferencia en cada consulta, con soluciones rápidas, simples y humanas.
Con tecnología avanzada, tus alineadores están listos en solo 5 días hábiles, con la exactitud y velocidad que tu práctica merece.
En goaligner no solo diseñamos alineadores, creamos el futuro de tu consulta y la sonrisa de tus pacientes.
Más simple y más rápido. Más humano., Precisión y velocidad como diferenciadores., Aliado 100% digital.
Quiero ser Dr. goalignerBienvenido a goaligner
Todo lo que necesitas saber
Repite los videos cuando lo necesites y avanza a tu ritmo. Estamos contigo en todo el proceso.
Etapas del Proceso
-
Exámenes diagnósticos
Todo comienza con la información clínica correcta. Para cada caso requerimos:
Radiografía panorámica.
Fotografías clínicas: extraorales e intraorales de alta calidad.
Escaneo intraoral en archivos STL (o modelos físicos para digitalizar).
Con estos insumos aseguramos un diagnóstico integral que permita diseñar un tratamiento confiable, predecible y sin improvisaciones. -
Escaneo
Recibimos archivos STL universales, compatibles con cualquier escáner intraoral del mercado (iTero, 3Shape, Medit, Carestream, entre otros).
Si no cuentas con escáner, también aceptamos modelos físicos para digitalizar.
La precisión en esta etapa es fundamental: de aquí depende que cada alineador encaje con comodidad y exactitud. -
Planificación
Tu caso es diseñado en un máximo de 48 horas por un ortodoncista certificado, no por un software automático. Cada movimiento se programa respetando la biomecánica, los tiempos biológicos y tus objetivos clínicos.
Validación clínica contigo antes de producir.
Transparencia en la secuencia de movimientos.
Resultados predecibles y controlados.
Aquí no solo entregamos un plan: entregamos seguridad y respaldo clínico. -
Refinamiento
Sabemos que algunos casos requieren ajustes adicionales. Si necesitas refinamiento:
Solo pagas las placas extra.
El diagnóstico y la planificación inicial no generan un nuevo cobro.
Mantienes control absoluto del tratamiento hasta lograr el resultado deseado.
Y lo mejor: una vez aprobada la planificación, tus alineadores están listos en solo 5 días hábiles, porque tu tiempo y el de tu paciente son igual de valiosos.
Contamos con entrega express:
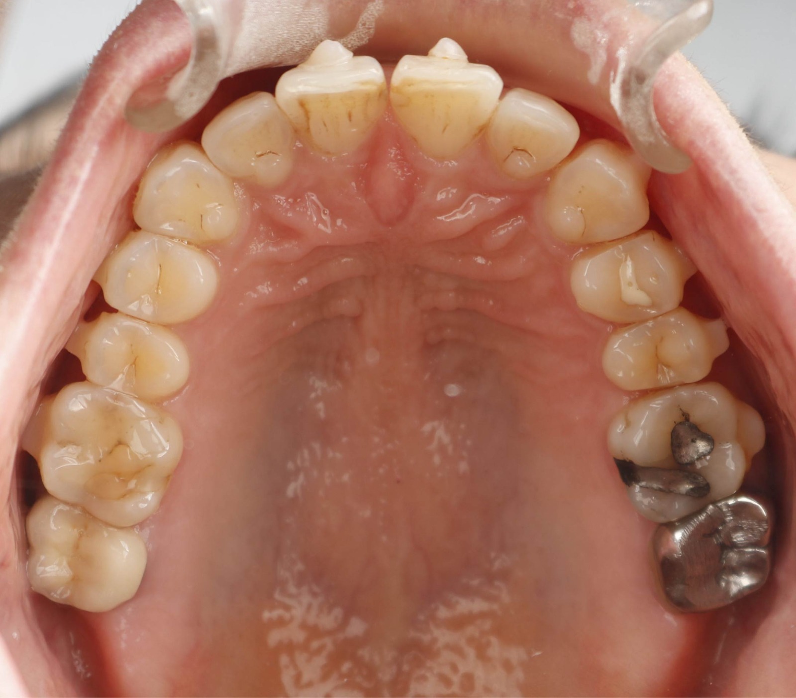
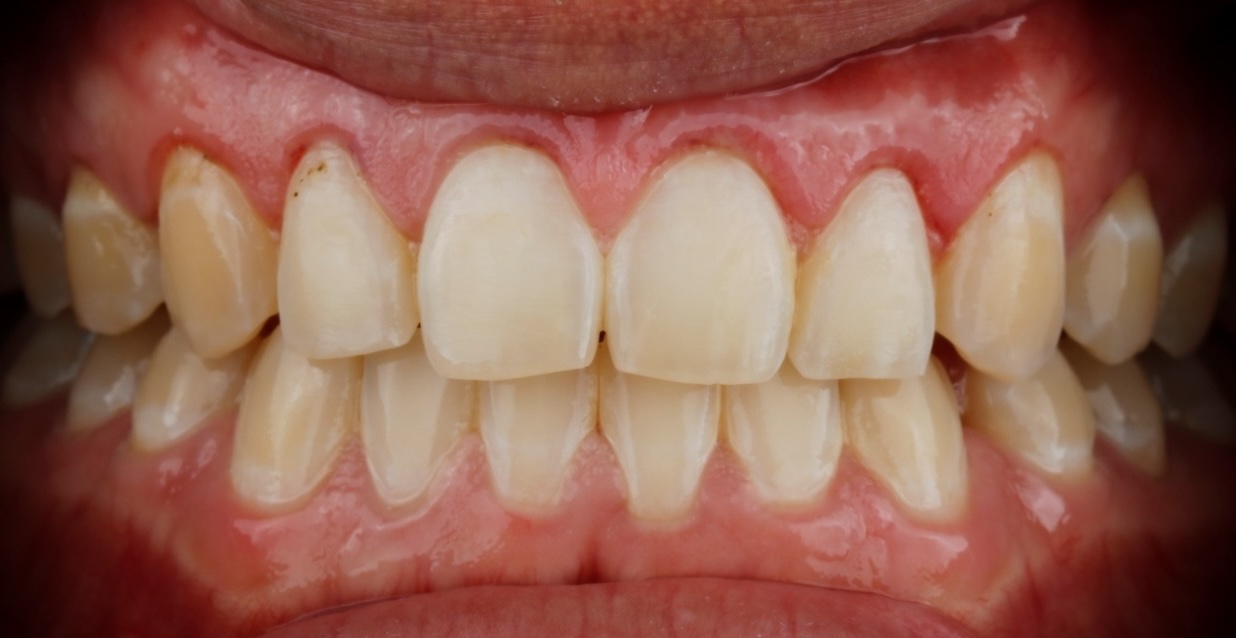
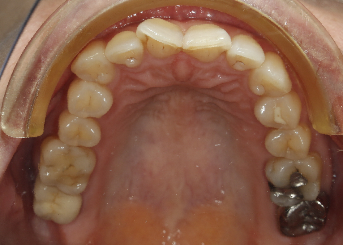
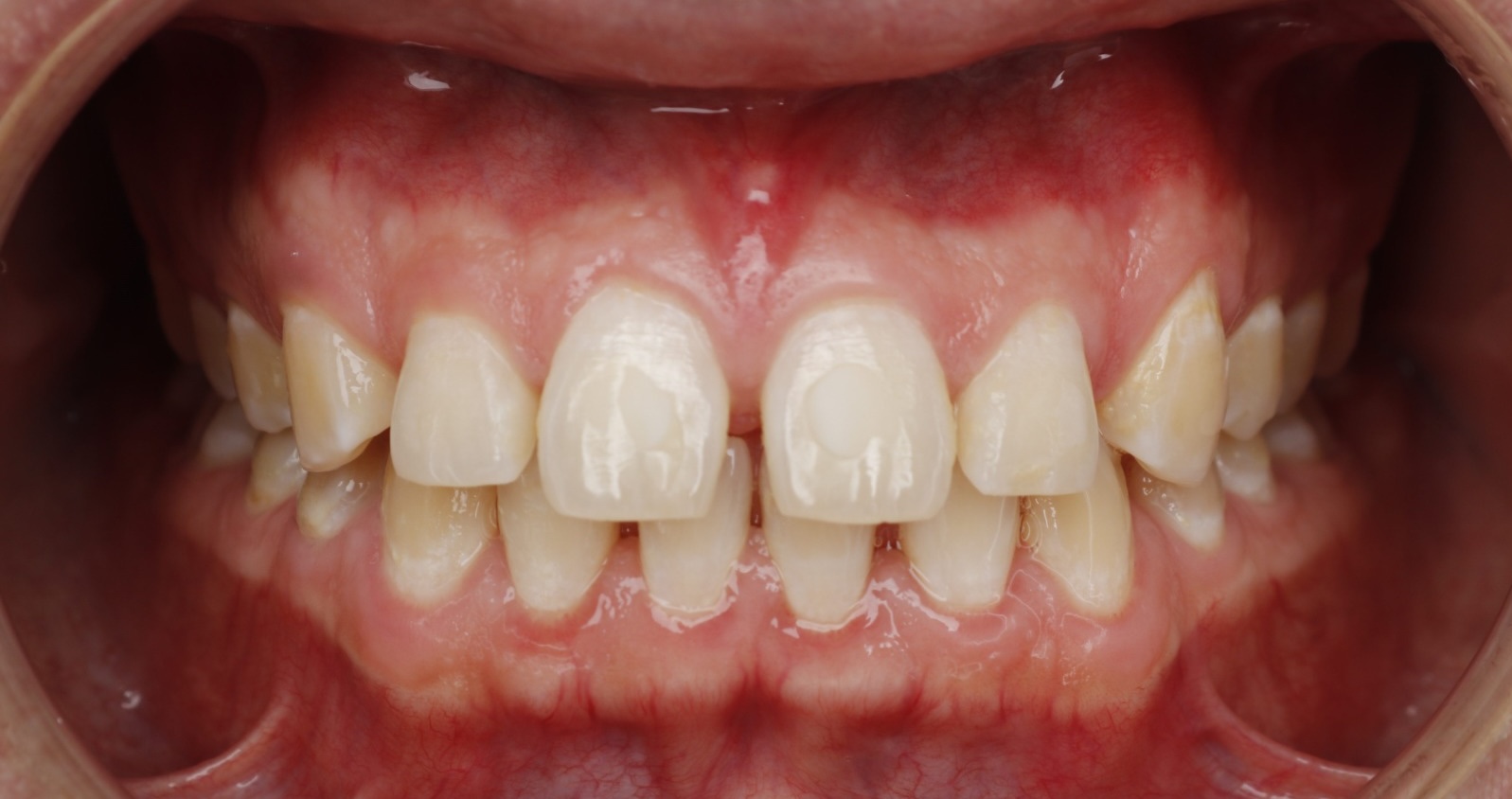
Casos de estudio
Hay pacientes que no volverán a preguntar. Si no les das la opción hoy, buscarán a quien sí lo haga.
¿Cuántos casos de tu semana podrían ser así?
Algunos de nuestros clientes
Más de 100 clínicas ya ofrecen alineadores como primera opción. No esperan a que el paciente lo pida; lo proponen desde la valoración
Hablemos de cómo crecer tu clínica
¿Quieres ofrecer alineadores de manera sencilla y rentable? Estamos listos para resolver tus dudas y acompañarte en cada paso. Completa el formulario y uno de nuestros asesores se pondrá en contacto contigo para mostrarte cómo puedes integrar nuestros servicios en tu práctica.